علی تاجرنیا روز پنجشنبه در حاشیه سمپوزیوم بین المللی دندانپزشکی که در هتل استقلال برگزار شد، افزود: سلامت دهان و دندان در سلامت عمومی بسیار تاثیر گذار است و با توجه اینکه درمان های دندانی به لحاظ تجهیزات گران است با خودمراقبتی و افزایش سلامت می توانیم بیماری های دهان و دندان را کاهش دهیم.
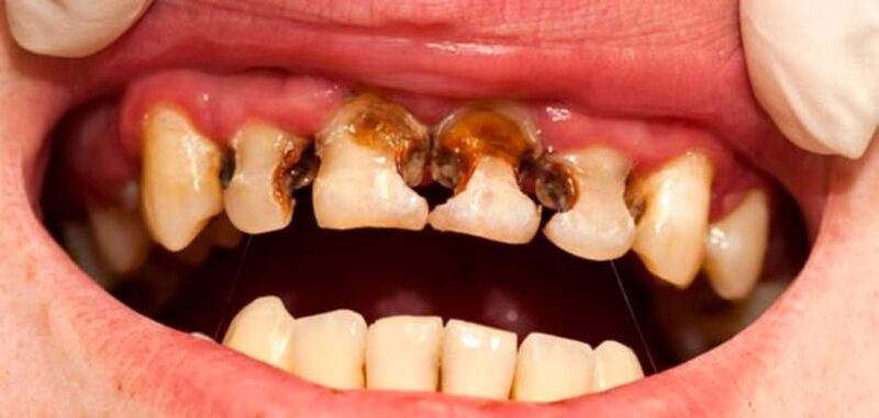
وی ادامه داد: مصرف غذاهای پرشکر، خیلی ترش، استفاده از غذاهای چسبنده و فست فودها در افزایش پوسیدگی در داخل دندان تاثیر گذار است و باید کمتر مصرف شوند.
تاجرنیا اظهار داشت: استفاده از مسواک، خمیر دندان و نخ دندان و دهان شویه ها برای کاهش میکروب دهان، پوسیدگی و کاهش التهاب لثه ضرورت دارد و والدین از ۲ سالگی مسواک انگشتی برای کودکان تهیه کرده ومسواک زدن آموزش داده شود و با توجه به اینکه از ۶ سالگی به بعد دندان های دائمی رشد می کنند برنامه های فلوراید تراپی نیز می تواند کمک می کند.
وی با بیان اینکه ایران رتبه اول دنیا در زمینه تحقیقات دندانپزشکی و تولید مقالات دندانپزشکی را دارد، گفت:بنیان دانش دندانپزشکی در کشور درست نهاده شده و همواره پا به پای دندانپزشکی مدرن سایر کشورها جلو رفته و رو به پیشرفت است.
وی تصریح کرد: دانش دندانپزشکی ما با اساتید پرورش یافته جایگاه مناسبی را حفظ کرده است و فاصله دانش ایران و دنیا اندک است.
حمایت خوب دولت در تامین ایمپلنت
محسن ناصری تولید کننده حوزه دندانپزشکی نیز گفت: اکنون ایمپلنت های دندانی با بهترین کیفیت در کشور تامین می شود و دولت حمایت خوبی داشته و مدیریت خوبی اتفاق افتاده است.
وی با اشاره به توسعه توریسم درمانی در حوزه ایمپلنت در کشور، اظهار داشت: سالانه ایرانیان مقیم خارج از کشور و خارجی های زیادی به ایران مراجعه می کنند و درمان ایمپلنت انجام می دهند و دلیل آن این است که پزشکان مجرب داریم، دستمزد پایین تر و قیمت پایین تر در این حوزه نسبت به جهانی وجود دارد.
تولید محصولات بازسازی استخوان در کشور
ناصری با اشاره به اینکه تکنولوژی تولید ایمپلنت در ایران وجود دارد، گفت: اکنون محصولات جانبی بازسازی استخوان در کشور تولید می شود و در این بخش بی نیاز شدیم.
سمپوزیوم دو روزه بین المللی دندانپزشکی در ایران با حمایت انجمن های علمی جراحان فک و صورت ایران و غیره با ۱۰ امتیاز بازآموزی با حضور دندانپزشکان ایرانی و کشورهای افغانستان، لبنان و امارات ۲۰ و ۲۱ اردیبهشت برگزار است.
در این مراسم، از پیشکسوتان از جمله پرفسور مسگر زاده پدر علم نوین جراحی فک و صورت، خوشخونژاد استاد دانشگاه علوم پزشکی تهران و پرفسور رشیدیان تقدیر شد.
| دیدگاه نیوز را در شبکه های اجتماعی دنبال کنید | |||||||
بدون نظر! اولین نفر باشید